引用本文: 劉靈琳, 李杰. 急性視網膜壞死并發GATA2綜合征一例. 中華眼底病雜志, 2020, 36(9): 728-729. doi: 10.3760/cma.j.cn511434-20190228-00063 復制
版權信息: ?四川大學華西醫院華西期刊社《中華眼底病雜志》版權所有,未經授權不得轉載、改編
患者女,41歲。以左眼視力下降2個月余、右眼視力下降1個月余2018年5月8日到四川省人民醫院眼科就診。患者自訴患高血壓病10年。4年前因“反復外陰丘疹、結節9年,加重伴累及肛門8年”于外院診斷為“鮑溫樣丘疹病、GATA2綜合征、甲癬、足癬、扁平疣、高血壓病、支氣管擴張癥合并感染”(圖1)。自訴患原發性免疫低下癥(缺乏診斷資料)。2個月前出現左眼視力下降、視物遮擋,不伴眼痛、頭痛、耳鳴、口腔潰瘍等。外院診斷不詳,予以口服糖皮質激素、復明片治療,視力仍持續下降。1個月前出現右眼視力下降,亦不伴眼痛、頭痛、耳鳴、口腔潰瘍等。眼科檢查:右眼視力0.25,左眼視力眼前數指。雙眼結膜無充血,前房深度正常,房水光(-),角膜后沉著物(KP)(-),晶狀體混濁(+),玻璃體腔內可見炎癥細胞。右眼視盤旁可見大量出血,鼻側視網膜水腫、壞死。左眼整個視網膜大片壞死伴點片狀出血區。雙眼眼壓均為12.5 mmHg(1 mmHg=0.133 kPa)。FFA檢查,雙眼視網膜大量動脈閉塞,視盤熒光素滲漏,周邊視網膜下熒光素積存。Torch檢查,弓形體IgG抗體、巨細胞病毒IgG抗體、風疹病毒IgG抗體、單純皰疹病毒1/2-IgG抗體均為陽性。乙肝病毒表面抗原、核心抗體、前診SI抗原均為陽性。抗核抗體、環瓜氨酸肽抗體、抗PR3抗體、抗MPO抗體、抗中性粒細胞胞漿抗體熒光法、紅細胞沉降率均正常。診斷:雙眼急性視網膜壞死(ARN)。
圖1
患者手足像。1A示左手背表皮乳頭樣增生;1B、1C示右手中指及右足二三趾間見豌豆大小黑斑,中央浸漬
將患者立即收入院,予以全身抗病毒(伐昔洛韋)、抗炎(口服醋酸潑尼松)治療聯合右眼玻璃體腔注射更昔洛韋及曲安奈德局部治療,病情漸穩定后出院。2018年5月25日,患者因右眼繼發孔源性視網膜脫離再次入院。入院后專科查體:右眼視力0.6(-1.25DS/-0.75DC×25),左眼視力眼前手動,矯正均不能提高。雙眼結膜無充血,角膜透明,前房深度正常,房水光(-),KP(-),晶狀體混濁(+),玻璃體混濁。眼底檢查,右眼視網膜及視盤色澤淡,周邊視網膜見大量出血及黃白色滲出,鼻側動脈呈白線狀,視網膜脫離(圖2A);左眼視網膜全脫離,動脈呈白線狀(圖2B)。FFA檢查,右眼動靜脈充盈時間明顯延長,部分動靜脈管壁熒光著染,視盤熒光增強伴周邊熒光素滲漏(圖2C);左眼視盤2~3 DD范圍以外的視網膜充盈缺損,視盤弱熒光(圖2D)。眼部B型超聲檢查,雙眼玻璃體混濁,雙眼視網膜脫離。雙眼三面鏡檢查,右眼顳上方及鼻側視網膜脫離,大量增生,鼻側見視網膜變性區及可疑裂孔;左眼視網膜360°全脫離,未見明顯裂孔。雙眼ERG檢查未記錄到a、b波。VEP檢查,右眼P100波潛伏時及振幅正常,左眼未記錄到波形。
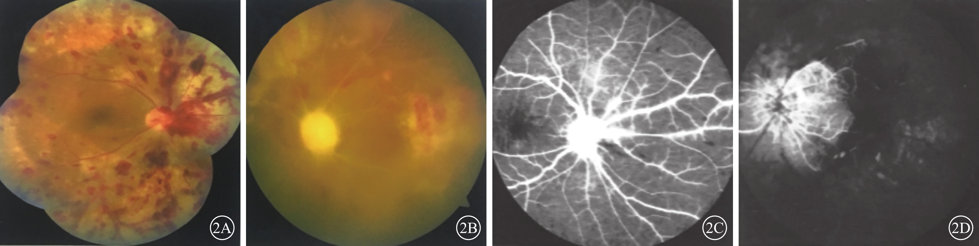
圖2
患者眼部檢查像。2A示右眼彩色眼底像,視網膜大量片狀出血,周邊黃白色滲出病灶,周邊血管閉塞;2B示左眼彩色眼底像,玻璃體混濁,視網膜血管閉塞呈白線狀,周邊見黃白色滲出病灶;2C示右眼FFA晚期像,動靜脈充盈時間明顯延長,部分動靜脈管壁熒光著染,視盤熒光增強伴周邊熒光素滲漏;2D示左眼FFA晚期像,視盤2~3 DD范圍以外的視網膜充盈缺損,視盤弱熒光
給予患者右眼玻璃體切割、內界膜剝除、激光光凝、氣液交換、硅油填充及鞏膜環扎手術。手術中見右眼玻璃體混濁(+++),視網膜顳上及鼻側視網膜脫離,增生明顯,鼻側可見局限性視網膜變薄及一圓形裂孔,動脈閉塞呈白線狀,周邊見大量黃白色滲出灶及出血。于視網膜周邊部以200 mW能量激光光凝600光點,封閉視網膜壞死區和血管閉塞區,注入硅油約5 ml,行鞏膜環扎,縮短7 mm。手術中抽取玻璃體腔液行病毒抗體及DNA定量檢測,提示帶狀皰疹病毒(VZV)抗體滴度升高及DNA弱陽性。手術后局部用藥預防感染抗炎治療,繼續口服藥物抗病毒抗炎治療。出院時檢查,右眼視力0.25(+1.50DS/+1.75DC×60),左眼視力眼前手動。右眼、左眼眼壓分別為13.5、14.5 mmHg。雙眼角膜透明,房水光(-),KP(-),晶狀體混濁(+)。右眼玻璃體腔硅油填充,視網膜平復,環扎嵴明顯,裂孔激光封閉,周邊視網膜可見大量激光光凝斑,視網膜及視盤色澤淡,鼻側動脈呈白線狀;左眼視網膜全脫離,動脈呈白線狀。
討論 ARN是一種主要由單純皰疹病毒1、2型或VZV或巨噬細胞病毒引起的嚴重致盲性眼部綜合征。該病主要以眼前節炎癥、周邊視網膜壞死、視網膜動脈炎、玻璃體炎性混濁,后期伴發視網膜脫離為特征,其起病急、進展快,治療困難[1]。盡早明確診斷及感染病毒的類型,可指導使用抗病毒藥物的種類,有利于改善患者的視力預后。PCR眼內液和血清病毒特異性抗體定量檢測以及脈絡膜-視網膜活檢聯合病理學、免疫學或PCR檢測等病原學檢測是診斷ARN的有效手段,也是指導其抗病毒治療的最佳方式[2]。ARN合并全身綜合征臨床較為少見。GATA2綜合征是GATA2基因突變引起分枝桿菌感染,樹突細胞、單核細胞、B細胞和自然殺傷淋巴細胞缺陷,淋巴水腫伴骨髓增生的異常綜合征,可導致患者身體抵抗力低下,易被病毒感染[3-4]。本例患者為女性,因合并GATA2綜合征導致體內免疫細胞缺乏、全身多處多種病毒感染、眼前節炎癥反應不明顯、周邊視網膜見黃白色病灶及視網膜動脈炎,不易分辨其究竟是巨細胞病毒性視網膜炎還是皰疹病毒性視網膜炎。因此,我們于手術中行玻璃體腔液體抗體定量檢測及病毒DNA檢測,確認其VZV抗體滴度升高及DNA弱陽性,ARN診斷成立。
由于ARN病情進展迅速,預后極差,故在病原學檢測結果出來之前可先行抗病毒藥物治療。初始治療靜脈滴注阿昔洛韋,同時為控制眼部炎癥,24~48 h后可聯合全身糖皮質激素治療。5~10 d后口服阿昔洛韋,持續6周。如全身抗病毒治療控制病情不佳時,可采用玻璃體腔注射抗病毒藥物治療。盡早行視網膜激光光凝可預防視網膜裂孔及脫離的發生。若已出現繼發孔源性視網膜脫離需盡早采用玻璃體切割手術,以挽救患者的視功能[4-6]。本例患者左眼發病時未引起重視,未及時進行治療而喪失視功能,故應盡早挽救右眼眼球及保護視功能。本例患者在ARN發病早期,及時采用全身抗病毒、糖皮質激素治療,聯合玻璃體腔抗病毒、曲安奈德局部抗炎治療,減緩了病情的進展;當發現繼發性視網膜裂孔及視網膜脫離時及時行玻璃體切割手術、手術中視網膜激光光凝、硅油填充和鞏膜環扎,清除玻璃體腔內的炎性物質、解除牽拉,使視網膜解剖復位,挽救了患者視功能,保留有用視力。
患者女,41歲。以左眼視力下降2個月余、右眼視力下降1個月余2018年5月8日到四川省人民醫院眼科就診。患者自訴患高血壓病10年。4年前因“反復外陰丘疹、結節9年,加重伴累及肛門8年”于外院診斷為“鮑溫樣丘疹病、GATA2綜合征、甲癬、足癬、扁平疣、高血壓病、支氣管擴張癥合并感染”(圖1)。自訴患原發性免疫低下癥(缺乏診斷資料)。2個月前出現左眼視力下降、視物遮擋,不伴眼痛、頭痛、耳鳴、口腔潰瘍等。外院診斷不詳,予以口服糖皮質激素、復明片治療,視力仍持續下降。1個月前出現右眼視力下降,亦不伴眼痛、頭痛、耳鳴、口腔潰瘍等。眼科檢查:右眼視力0.25,左眼視力眼前數指。雙眼結膜無充血,前房深度正常,房水光(-),角膜后沉著物(KP)(-),晶狀體混濁(+),玻璃體腔內可見炎癥細胞。右眼視盤旁可見大量出血,鼻側視網膜水腫、壞死。左眼整個視網膜大片壞死伴點片狀出血區。雙眼眼壓均為12.5 mmHg(1 mmHg=0.133 kPa)。FFA檢查,雙眼視網膜大量動脈閉塞,視盤熒光素滲漏,周邊視網膜下熒光素積存。Torch檢查,弓形體IgG抗體、巨細胞病毒IgG抗體、風疹病毒IgG抗體、單純皰疹病毒1/2-IgG抗體均為陽性。乙肝病毒表面抗原、核心抗體、前診SI抗原均為陽性。抗核抗體、環瓜氨酸肽抗體、抗PR3抗體、抗MPO抗體、抗中性粒細胞胞漿抗體熒光法、紅細胞沉降率均正常。診斷:雙眼急性視網膜壞死(ARN)。
圖1
患者手足像。1A示左手背表皮乳頭樣增生;1B、1C示右手中指及右足二三趾間見豌豆大小黑斑,中央浸漬
將患者立即收入院,予以全身抗病毒(伐昔洛韋)、抗炎(口服醋酸潑尼松)治療聯合右眼玻璃體腔注射更昔洛韋及曲安奈德局部治療,病情漸穩定后出院。2018年5月25日,患者因右眼繼發孔源性視網膜脫離再次入院。入院后專科查體:右眼視力0.6(-1.25DS/-0.75DC×25),左眼視力眼前手動,矯正均不能提高。雙眼結膜無充血,角膜透明,前房深度正常,房水光(-),KP(-),晶狀體混濁(+),玻璃體混濁。眼底檢查,右眼視網膜及視盤色澤淡,周邊視網膜見大量出血及黃白色滲出,鼻側動脈呈白線狀,視網膜脫離(圖2A);左眼視網膜全脫離,動脈呈白線狀(圖2B)。FFA檢查,右眼動靜脈充盈時間明顯延長,部分動靜脈管壁熒光著染,視盤熒光增強伴周邊熒光素滲漏(圖2C);左眼視盤2~3 DD范圍以外的視網膜充盈缺損,視盤弱熒光(圖2D)。眼部B型超聲檢查,雙眼玻璃體混濁,雙眼視網膜脫離。雙眼三面鏡檢查,右眼顳上方及鼻側視網膜脫離,大量增生,鼻側見視網膜變性區及可疑裂孔;左眼視網膜360°全脫離,未見明顯裂孔。雙眼ERG檢查未記錄到a、b波。VEP檢查,右眼P100波潛伏時及振幅正常,左眼未記錄到波形。
圖2
患者眼部檢查像。2A示右眼彩色眼底像,視網膜大量片狀出血,周邊黃白色滲出病灶,周邊血管閉塞;2B示左眼彩色眼底像,玻璃體混濁,視網膜血管閉塞呈白線狀,周邊見黃白色滲出病灶;2C示右眼FFA晚期像,動靜脈充盈時間明顯延長,部分動靜脈管壁熒光著染,視盤熒光增強伴周邊熒光素滲漏;2D示左眼FFA晚期像,視盤2~3 DD范圍以外的視網膜充盈缺損,視盤弱熒光
給予患者右眼玻璃體切割、內界膜剝除、激光光凝、氣液交換、硅油填充及鞏膜環扎手術。手術中見右眼玻璃體混濁(+++),視網膜顳上及鼻側視網膜脫離,增生明顯,鼻側可見局限性視網膜變薄及一圓形裂孔,動脈閉塞呈白線狀,周邊見大量黃白色滲出灶及出血。于視網膜周邊部以200 mW能量激光光凝600光點,封閉視網膜壞死區和血管閉塞區,注入硅油約5 ml,行鞏膜環扎,縮短7 mm。手術中抽取玻璃體腔液行病毒抗體及DNA定量檢測,提示帶狀皰疹病毒(VZV)抗體滴度升高及DNA弱陽性。手術后局部用藥預防感染抗炎治療,繼續口服藥物抗病毒抗炎治療。出院時檢查,右眼視力0.25(+1.50DS/+1.75DC×60),左眼視力眼前手動。右眼、左眼眼壓分別為13.5、14.5 mmHg。雙眼角膜透明,房水光(-),KP(-),晶狀體混濁(+)。右眼玻璃體腔硅油填充,視網膜平復,環扎嵴明顯,裂孔激光封閉,周邊視網膜可見大量激光光凝斑,視網膜及視盤色澤淡,鼻側動脈呈白線狀;左眼視網膜全脫離,動脈呈白線狀。
討論 ARN是一種主要由單純皰疹病毒1、2型或VZV或巨噬細胞病毒引起的嚴重致盲性眼部綜合征。該病主要以眼前節炎癥、周邊視網膜壞死、視網膜動脈炎、玻璃體炎性混濁,后期伴發視網膜脫離為特征,其起病急、進展快,治療困難[1]。盡早明確診斷及感染病毒的類型,可指導使用抗病毒藥物的種類,有利于改善患者的視力預后。PCR眼內液和血清病毒特異性抗體定量檢測以及脈絡膜-視網膜活檢聯合病理學、免疫學或PCR檢測等病原學檢測是診斷ARN的有效手段,也是指導其抗病毒治療的最佳方式[2]。ARN合并全身綜合征臨床較為少見。GATA2綜合征是GATA2基因突變引起分枝桿菌感染,樹突細胞、單核細胞、B細胞和自然殺傷淋巴細胞缺陷,淋巴水腫伴骨髓增生的異常綜合征,可導致患者身體抵抗力低下,易被病毒感染[3-4]。本例患者為女性,因合并GATA2綜合征導致體內免疫細胞缺乏、全身多處多種病毒感染、眼前節炎癥反應不明顯、周邊視網膜見黃白色病灶及視網膜動脈炎,不易分辨其究竟是巨細胞病毒性視網膜炎還是皰疹病毒性視網膜炎。因此,我們于手術中行玻璃體腔液體抗體定量檢測及病毒DNA檢測,確認其VZV抗體滴度升高及DNA弱陽性,ARN診斷成立。
由于ARN病情進展迅速,預后極差,故在病原學檢測結果出來之前可先行抗病毒藥物治療。初始治療靜脈滴注阿昔洛韋,同時為控制眼部炎癥,24~48 h后可聯合全身糖皮質激素治療。5~10 d后口服阿昔洛韋,持續6周。如全身抗病毒治療控制病情不佳時,可采用玻璃體腔注射抗病毒藥物治療。盡早行視網膜激光光凝可預防視網膜裂孔及脫離的發生。若已出現繼發孔源性視網膜脫離需盡早采用玻璃體切割手術,以挽救患者的視功能[4-6]。本例患者左眼發病時未引起重視,未及時進行治療而喪失視功能,故應盡早挽救右眼眼球及保護視功能。本例患者在ARN發病早期,及時采用全身抗病毒、糖皮質激素治療,聯合玻璃體腔抗病毒、曲安奈德局部抗炎治療,減緩了病情的進展;當發現繼發性視網膜裂孔及視網膜脫離時及時行玻璃體切割手術、手術中視網膜激光光凝、硅油填充和鞏膜環扎,清除玻璃體腔內的炎性物質、解除牽拉,使視網膜解剖復位,挽救了患者視功能,保留有用視力。

