隨著眼底成像技術的快速發展,在多模式影像新概念的基礎上建立新生血管性老年性黃斑變性(nAMD)新命名系統對于指導臨床工作具有重要意義。2020年,由視網膜專家、眼底讀片專家以及眼病理學家組成的nAMD研究組經過反復討論并達成共識,在原有熒光素眼底血管造影和病理認識的基礎上,結合吲哚青綠血管造影、光相干斷層掃描及光相干斷層掃描血管成像等新型影像和當前的病理認識,建立了nAMD亞型和相關病變的新命名,以幫助眼底病醫師對各種不同表現nAMD患者進行分組和研究。該共識提出術語“黃斑新生血管”,并將其分為1型、2型、3型;同時針對視網膜色素上皮脫離、出血、纖維化、視網膜色素上皮撕裂等黃斑新生血管相關病變進行了命名。這一新命名有助于改善不同研究之間、臨床診療上的溝通,在讀片中心和研究者之間建立標準定義和術語,將進一步推動眼底病醫師對nAMD的認識和交流。
引用本文: 楊依柳, 楊婷婷, 陸方, 黎曉新. 新生血管性老年性黃斑變性亞型報告的國際新命名專家共識解讀. 中華眼底病雜志, 2022, 38(2): 99-107. doi: 10.3760/cma.j.cn511434-20220128-00055 復制
版權信息: ?四川大學華西醫院華西期刊社《中華眼底病雜志》版權所有,未經授權不得轉載、改編
老年性黃斑變性(AMD)是一種和年齡增長有關的多因素復合作用的眼底疾病,其臨床表現多樣。自1967年Gass[1]首先描述新生血管性AMD(nAMD)的病理和生理特征以來,隨后多年基于眼底彩色照相和熒光素眼底血管造影(FFA)影像特征的認識,陸續出現了“玻璃膜疣”、“地圖樣萎縮”等相關名詞術語[2-4]。近些年,眼底成像技術快速發展,在多模式影像新概念的基礎上建立nAMD新命名系統對于指導臨床工作具有重要意義。2020年,由視網膜專家、眼底讀片專家以及眼病理學家組成的nAMD研究組經過反復討論并達成共識,針對AMD定義、nAMD亞型建立了統一的命名系統[5]。現針對該共識中的數個亮點內容進行解讀,以供眼底病臨床醫師在臨床研究和實踐中參考。
1 AMD定義
AMD是黃斑區結構和功能發生衰老性改變的一種疾病,50歲以后伴有明顯的癥狀和體征,且其通常不繼發于病理性近視、中心性漿液性脈絡膜視網膜病變、單基因遺傳性視網膜疾病、脈絡膜視網膜葡萄膜綜合癥、感染或眼外傷等。AMD以黃斑區細胞外沉積物為典型特征,其分為基底層沉積物(basal laminar deposits )和基底線沉積物(basal linear deposits )兩種類型。前者指位于視網膜色素上皮(RPE)細胞漿膜及基底層[basal lamina,又稱致密層(lamina densa)]之間的沉積物;后者指RPE基底層外的沉積物。這兩種類型的沉積物均發生在Bruch膜里的內膠原層(圖1)。通常情況下,檢眼鏡下無法觀察到這些沉積物導致的Bruch膜彌漫性增厚,但“小土堆”樣的基底線沉積物在檢眼鏡下可表現為軟玻璃膜疣(soft drusen)[6]。而堆積在RPE上的視網膜下玻璃膜疣樣沉積物(subretinal drusenoid deposits),呈假性玻璃膜疣(pseudodrusen)表現。這些細胞外沉積物的形態學變化是組織學層面的改變,要進展到一定階段才能出現在臨床影像上。
圖1
RPE和Bruch膜的解剖模式圖。RPE:視網膜色素上皮
AMD早期,病變對視覺影響較小,主要表現為細胞外沉積物蓄積、色素移行進入視網膜、玻璃膜疣增大以及RPE發生色素減退和色素沉著;AMD晚期,其臨床表現以外層視網膜萎縮和變薄、RPE丟失以及黃斑新生血管(MNV)為主。新生血管性病變可以導致滲漏、出血和瘢痕。雙眼改變可以不對稱,如1只眼有玻璃膜疣,而對側眼無類似改變。對于這種情況,該共識認為不應按眼來診斷AMD,而應該按患者來診斷,同時給予患者補充維生素等措施來降低其發生AMD的風險。
2 新生血管亞型
與以往使用的術語“脈絡膜新生血管(CNV)”不同,該共識建議換用術語“MNV”。MNV是指血管及附加組織入侵式長入視網膜、視網膜下腔或RPE下腔,生長方式可以不同的組合。該共識基于光相干斷層掃描(OCT)確定的新生血管解剖位置及血管成分,將MNV分為1型、2型、3型共3個亞型。更改術語的原因是3型MNV并非從脈絡膜產生。
2.1 1型MNV
1型MNV是起源于脈絡膜毛細血管層向RPE下間隙生長的血管,既往命名為“隱匿性CNV”。隨著病灶的生長和擴大,脈絡膜和病灶內的滋養血管和引流血管發生重塑,逐漸增粗[7]。MNV病變在成纖維細胞、肌成纖維細胞和巨噬細胞等成分的參與下,導致纖維組織形成;而新生血管的滲漏、出血和纖維組織增生又可能導致纖維血管性RPE脫離(PED)。在FFA影像上,1型MNV表現為與RPE隆起區域相對應的邊界不清的斑點狀強熒光,晚期熒光融合成片。相比之下,吲哚青綠血管造影(ICGA)檢查可以更好地顯示這些異常的血管結構,但其有時也僅顯示為晚期的斑片狀熒光染色[8]。OCT血管成像(OCTA)檢查有助于識別這些病灶,可表現為新生血管形成的滲出、出血、或者纖維組織增生導致的纖維血管性PED擴大(圖2,3)。
圖2
1型MNV解剖結構示意圖。血管自脈絡膜生長,終于RPE以下。MNV:黃斑新生血管;RPE:視網膜色素上皮
圖3
78歲1型MNV患眼眼部檢查像。3A示彩色眼底像,可見黃斑鼻側出血。3B示FFA像,可見出血遮蔽熒光、輕微彌漫性滲漏(白箭)和點狀熒光素滲漏(白箭頭)。3C示OCT及En face OCTA像,上圖為OCT像,可見纖維血管性PED下呈不均勻強反射;下圖為OCTA B掃描像,可見隆起的RPE內有血流信號。3D示OCTA像,可見新生血管網(白箭)和黃斑中心凹(星號)。MNV:黃斑新生血管;FFA:熒光素眼底血管造影;OCT:光相干斷層掃描;OCTA:OCT血管成像;RPE:視網膜色素上皮;PED:RPE脫離
1973年Sarks[9]報道了一些1型MNV患眼的組織學改變,這些患者均沒有新生血管的臨床體征。1987年Gass[10]將這些臨床無癥狀但檢眼鏡或者血管造影下存在新生血管者稱為“隱匿型”。隨著ICGA的出現,有學者發現,無滲出的黃斑區斑片狀強熒光患眼,其對側眼有軟玻璃膜疣[11]。隨后又有學者發現,與無非滲出性斑狀物的患眼比較,有非滲出性新生血管斑狀物的患眼發展為滲出性改變的風險更高[12]。2012年Amissah-Arthur等[13]通過OCT發現,88%的患眼會發展為滲出性改變。而對于持續超過6個月無滲出改變的新生血管,Querques等[14]將其命名為“靜止型新生血管”,隨后基于OCTA又被命名為“非滲出性MNV”。但“靜止型”一詞沒有被國際命名共識納入。
2.2 息肉樣脈絡膜血管病變(PCV)
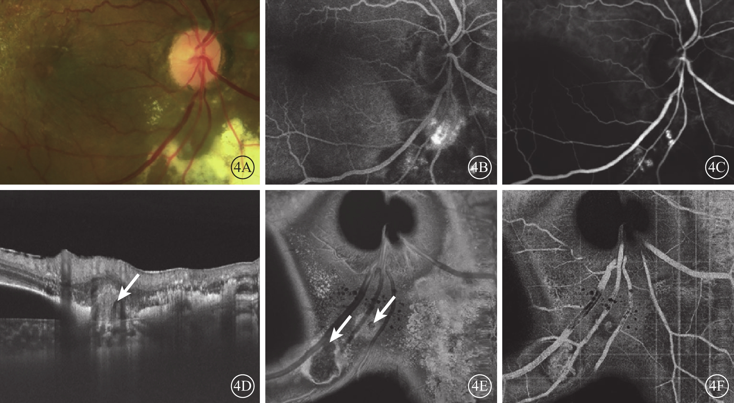
息肉樣脈絡膜血管病變(PCV)以脈絡膜異常分支血管網和分支血管網邊緣的結節樣血管團塊(息肉)為特征性改變,是一種非常重要的1型MNV亞類[15]。PCV在亞洲MNV患者中更常見,約占50%[16-17],男性居多[18]。在PCV中,分支血管網的血管可以異常粗大,甚至在檢眼鏡下可直接觀察到,息肉具有搏動性,并容易出血。其OCT特征與1型MNV相似,在此基礎上部分患者的病變邊緣可見擴張的血管成分,隆起的RPE提示息肉樣結節。PCV在ICGA和OCTA檢查中更具有特征性:ICGA早期可見分支血管網充盈,隨之病灶外緣上數量不等的息肉樣顯影,晚期循環內的染料清空,在息肉周圍形成晚期染色[19];OCTA檢查中,雖然息肉可能不顯影,但是分支血管網是可以清楚顯現的(圖4)。PCV病灶在RPE下間隙緩慢生長,往往在導致患者視力損害之前就已經發展到相當大的程度。
圖4
PCV患眼眼部檢查像。4A示彩色眼底像,可見視網膜前膜,視盤下方大量的視網膜下脂質。4B示FFA像,可見新生血管性強熒光,PED內可見熒光素積存。4C示ICGA像,可見膨大的血管呈強熒光,其通過分支血管網絡相互連接。4D示OCT像,強反射滲出物質下可見結節樣血管結構(白箭),鄰近PED。4E示OCTA En face像,動脈瘤樣結構聚集導致的RPE隆起(白箭)。4F示OCTA像,隆起的RPE內有血流信號,提示有動脈瘤樣擴張的血管,也可能是緊密纏繞的血管團。PCV:息肉樣脈絡膜血管病變;RPE:視網膜色素上皮;PED:RPE脫離;FFA:熒光素眼底血管造影;ICGA:吲哚青綠血管造影;OCT:光相干斷層掃描;OCTA:OCT血管成像;En face:橫斷面
實際上,“息肉樣脈絡膜血管病變”一詞是不正確的,從名字上解讀,應該是異常擴張的脈絡膜血管,末梢膨大呈息肉樣,但是病理顯示病灶位于Bruch膜之上,由緊鄰于RPE外的“海綿”樣薄壁血管組成[20-22];而“polyp”一詞指的是一種水生無脊椎動物或是從粘膜表面生長的贅生物,而不是血管異常。目前有一個推薦術語“血管囊樣1型新生血管”,因為對息肉的內部結構到底是單純的血管瘤還是更為復雜的血管結構尚存在爭議,但命名委員會尚未達成共識[23]。
2.3 2型 MNV
2型MNV舊稱為“典型性CNV”,特指起源于脈絡膜的新生血管增生時穿過RPE后進入視網膜下間隙,盡管新生血管穿過RPE下,但主要部分位于視網膜下。這型病變合并的出血和滲出直接進入視網膜下腔。2型MNV可以是整體病灶的一部分,與其他類型MNV同時存在。除AMD外,還可繼發于血管樣條紋、漆裂紋、脈絡膜視網膜炎等累及RPE的疾病。該型病變在FFA早期即可顯示典型的邊界清楚的強熒光,晚期熒光素滲漏(圖5,6)。OCTA顯示新生血管網位于RPE上方。
圖5
2型MNV解剖結構示意圖。血管從脈絡膜發出,穿過RPE,在視網膜下間隙增生。MNV:黃斑新生血管;RPE:視網膜色素上皮
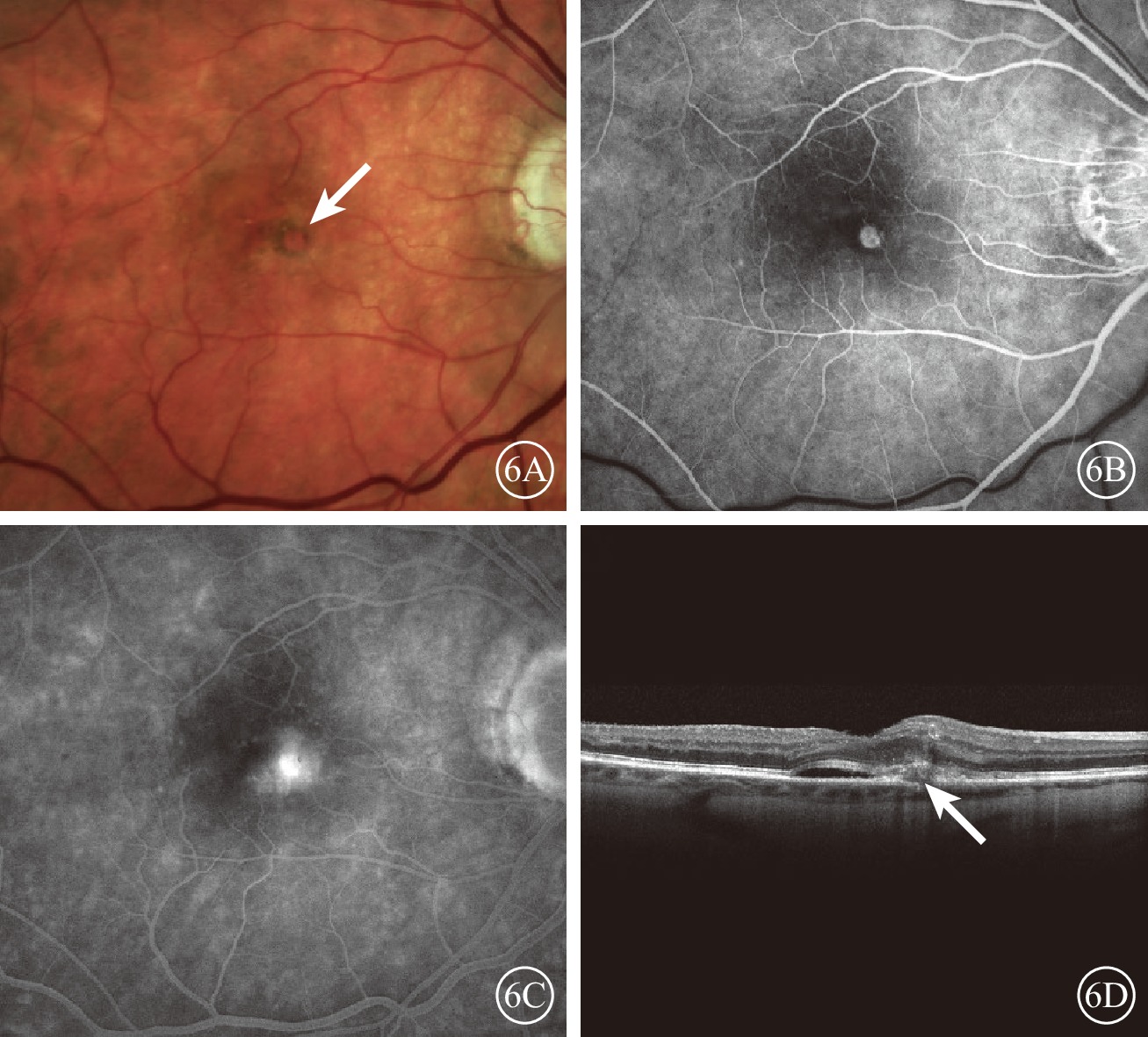
圖6
74歲2型MNV患眼眼部檢查像。6A示彩色眼底像,可見中心凹環形色素沉著(白箭)。6B、6C分別示FFA早期、晚期像,早期可見邊界清楚的新生血管病變,晚期熒光素滲漏增加,新生血管病變邊界模糊。6D示OCT像,可見外層視網膜病變和中心凹下視網膜下液,新生血管穿過RPE(白箭)。MNV:黃斑新生血管;FFA:熒光素眼底血管造影;OCT:光相干斷層掃描;RPE:視網膜色素上皮
2.4 3型 MNV
3型MNV并非起源自脈絡膜,而是從視網膜循環向下生長至外層視網膜的血管復合體,“CNV”的稱謂在此顯然不正確。
3型MNV中心凹無血管區外的散在斑片狀視網膜內出血和囊樣間隙出現于新生血管形成之前,新生血管出現潛在的滲漏和出血。FFA檢查可見黃斑囊樣水腫形成,表現為視網膜內熒光素滲漏;ICGA檢查可見強熒光灶,這很可能是軸性向下生長的血管;OCT檢查可見視網膜內水腫,不同于其他新生血管,其水腫范圍更廣;OCTA檢查可見血管增生進入視網膜深層(圖7,8)。據此該共識推測,這些血管起源于視網膜深層毛細血管叢,蔓延到外層視網膜,但卻伴有增強的血管增生、血流和新生血管滋養引流的重塑。已獲得組織學結果的證實,3型MNV患眼可以表現為視網膜下液和滲出、視網膜退化、PED。
圖7
3型MNV及其新生血管向下生長形成的血管瘤樣病灶解剖結構示意圖。7A示3型MNV,當局部的促血管生成-抗血管生成平衡向有利于新生血管生成的方向傾斜時,新生血管從深層毛細血管叢發出,沿著VEGF濃度梯度方向增生。7B示新生血管向下生長形成血管瘤樣病灶,此處的滋養和引流血管經重塑進一步增大增粗,視網膜內的水腫和出血一方面來自于新生血管的滲漏,另一方面由VEGF上調引起。MNV:黃斑新生血管;RPE:視網膜色素上皮;VEGF:血管內皮生長因子
圖8
3型MNV患眼眼部檢查像。8A示彩色眼底像,可見黃斑旁色素紊亂。8B示FFA像,左圖為早期,右圖為晚期。早期新生血管呈強熒光(白箭),晚期熒光素滲漏。8C示ICGA像,左圖為早期,右圖為晚期。早期新生血管呈強熒光(白箭),晚期滲漏不明顯。8D示OCT像,左圖為掃描方向和部位,右圖為檢查結果。可見新生血管合并纖維血管性PED,周圍有視網膜下液。8E示OCTA像,左圖為掃描方向和部位,右圖為檢查結果。可以清晰看到新生血管成分來自深層視網膜毛細血管網,而非脈絡膜。MNV:黃斑新生血管;FFA:熒光素眼底血管造影;ICGA:吲哚青綠血管造影;OCT:光相干斷層掃描;OCTA:OCT血管成像;PED:視網膜色素上皮脫離
增生進一步向著RPE,最終導致RPE破裂,RPE下新生血管形成,并與深層血管吻合。盡管2型、3型中的新生血管都可進入視網膜下,但是3型新生血管起源于視網膜微循環,而1型、2型是從脈絡膜發生。早期曾使用術語“視網膜異常血管群”[24]、“視網膜血管瘤樣增生”[25]和“隱匿型視網膜脈絡膜吻合”[26]。
2.5 視網膜-脈絡膜吻合
吻合血管指血管管道之間的交通連接。這些管道能讓血管內血液的流動方向從視網膜到脈絡膜,或者從脈絡膜到視網膜,這取決于壓力差。該共識將此類病灶命名為“視網膜-脈絡膜吻合”,是為了與視網膜到脈絡膜的分級命名原則保持一致,而并非代表血流的方向。盡管OCT和OCTA檢查也可以檢出此類病變,但其診斷還是更多地依賴于血管造影檢查。
3 新生血管病變術語
基于以上定義與分型,該共識對于新生血管病變術語的使用建議為:1型MNV指起源于脈絡膜并位于RPE下的新生血管;2型MNV指新生血管起源于脈絡膜,突破RPE進入視網膜下間隙;3型MNV指起源于視網膜的血管復合體。如果主要的新生血管同時位于視網膜下和RPE下,就稱為1/2型混合MNV(圖9),其治療后2型病變退化明顯[27]。有的患眼同時存在3型MNV和與之不相連的其他類型新生血管,可以用“/”表示,如同時存在1型MNV,則稱為“3/1型MNV”,“/”意味“和”。
圖9
1/2型混合MNV患眼眼部檢查像。9A示彩色眼底像,黃色滲出(白箭)、玻璃膜疣(黃箭)和假性玻璃膜疣(白箭頭)。9B、9C分別示FFA早期、晚期像,早期可見邊界清楚的新生血管(9B,白箭),晚期可見新生血管滲漏明顯(9C,白箭),周圍可見點狀強熒光(9C,白箭頭)。9D示OCTA En face像,可見RPE上方的2型MNV(上圖,白箭),形態與FFA像一致;掃描層面下移后,可見RPE下方的1型新生血管(下圖,白箭)。MNV:黃斑新生血管;FFA:熒光素眼底血管造影;OCTA:光相干斷層掃描血管成像;En face:橫斷面
滲出是新生血管的常見特征,MNV的滲出可表現為滲漏、視網膜下液、脂質(硬性滲出)和視網膜下強反射物質(SHRM)。
3.1 滲漏
滲漏是血眼屏障破壞后釋放出過多液體和血清成分的結果。在FFA上表現為血管外的強熒光灶,隨造影時間延長而逐漸擴大。當熒光素儲留在組織中時,稱為“染色”;進入富含液體的間隙時,則稱為“蓄積”。需要注意的是,強熒光表現并不一定代表有水腫存在,也有可能是滲漏較為局限而組織功能存在所致。
當血管滲漏超出了局部組織排出液體的能力時,就會出現視網膜內液或視網膜下液。視網膜內液可以源于視網膜血管或視網膜內新生血管的滲漏,或由于外界膜和相關結構異常導致的從外層視網膜擴散而來的滲出;視網膜下液體的蓄積依賴于排除率,例如打破RPE泵的功能可導致視網膜下液體蓄積。
3.2 脂質
脂質也稱為硬性滲出,是血管慢性滲漏產生的脂蛋白沉淀。滲漏的液體成分可以吸收,但并未直接移除脂蛋白分子,如脂蛋白分子濃度可能超出其可溶性,將出現組織沉淀物。小的病灶在視網膜上不顯示,大的病灶則表現為位于視網膜內或視網膜下的黃白色球形物質,OCT上表現為視網膜內強反射點。
3.3 SHRM
SHRM在OCT時代才被觀察到。它是指除了紅細胞之外的物質滲出到視網膜內或視網膜下,OCT表現為一些區域無特征性的蓄積物合并相對一致的增強反射(圖10)。這些物質多由血清、纖維蛋白和炎性細胞組成。不同于卵黃樣物質,SHRM在眼底自身熒光(FAF)檢查上并不顯示為強熒光。SHRM可以吸收,但纖維化常常出現[28-29]。當出現SHRM時,患者視力預后往往較差[27]。2型MNV的滲出會直接進入視網膜下腔,其存在SHRM的線索包括FFA的經典表現、外界膜破壞和視網膜內液體。SHRM的再出現是新生血管復發的標志[30]。
圖10
視網膜下液、SHRM及PED患眼OCT像。左圖為掃描方向和部位,右圖為檢查結果。視網膜下液(藍箭)、視網膜下反射均勻增強(白箭)及RPE隆起(綠箭)。SHRM:視網膜下強反射物質;RPE:視網膜色素上皮;PED:RPE隆起;OCT:光相干斷層掃描
4 MNV相關病變
4.1 PED
PED是指因RPE下玻璃膜疣樣物質、積液、出血和纖維血管組織等導致RPE層和其下方的基底膜與Bruch膜內膠原層的分離。漿液性PED可以發生在非nAMD過程中[31]。但ICGA檢查證實PED主要還是來自于AMD的新生血管。RPE因新生血管釋放的液體而升高,可發生在新生血管不對稱的組織,呈“凹槽”狀PED,新生血管位于“凹槽”內,常常與RPE底部和其基底膜粘連。纖維血管性PED的結構主要是血管和纖維組織的復雜排列,其也可以存在漿液性液體。OCT和OCTA檢查可以探測到PED內部的解剖結構,特別是當PED較淺時,OCTA清晰可見其血管網。“玻璃膜疣樣PED”是一類特殊的PED,其表現為直徑大于350 μm的玻璃膜疣物質[32]。1型、3型MNV均可出現PED。1型MNV出現PED的原因可能是RPE下新生血管的滲漏,在有些早期的1型MNV中PED相對平坦。3型MNV發生PED的原因不明。但類似的PED不會出現于2型MNV,其原因尚不清楚。
4.2 出血
新生血管引起的出血可以出現在RPE下、視網膜下、視網膜內,甚至偶有發生在視網膜前區域。新鮮出血在FAF上呈強熒光;而陳舊性出血在FFA中不染色,FAF上也表現為強熒光。
4.3 纖維化
纖維化是指在眼底照相和FFA檢查中可以觀察到的白色或黃白色物質,可以出現在視網膜任何一層、視網膜下、RPE層或RPE下,多見于視網膜下或RPE下腔,推測其來自膠原組成的沉積物。FFA具有特征性熒光,而FAF無強熒光特征。有關纖維化在彩色眼底像和FFA上呈現的特征與OCT影像特征有無關聯尚不確切[33]。組織病理學檢查發現,纖維組織含有4種膠原沉淀物,包括成纖維細胞、肌成纖維細胞、潛在分化的 RPE 細胞以及可能與新生血管組織混合的其他成分。纖維化是傷口愈合反應的一部分[34],是轉化生長因子β1、色素上皮生長因子、結締組織生長因子等多種細胞因子共同作用的結果[35]。纖維組織常合并病灶收縮,推測血管內皮生長因子(VEGF)和這些細胞因子之間有平衡制約的關系,較高水平VEGF可以促進血管生長,而較低水平VEGF又可導致纖維瘢痕組織的增加和組織收縮。
4.4 RPE撕裂
RPE撕裂由RPE層的牽引性開裂引起,牽引力來自于RPE下的纖維血管組織,當牽引力大于RPE單層結構的力度時便導致RPE撕裂[36-37]。撕裂后的RPE邊緣回縮,導致游離端的RPE形成不同程度的堆積,此區域在FFA上呈遮蔽熒光,缺失RPE區域在FFA上呈透見熒光;OCT中顯示為脈絡膜的強穿透性(圖11)。由于RPE缺失或脈絡膜毛細血管萎縮, OCTA可以觀察到來自深層脈絡膜血管的血流信號。
圖11
RPE撕裂患眼眼部檢查像。11A示彩色眼底像,視網膜下病變區色素紊亂。11B示FFA像,撕裂端RPE的堆積呈遮蔽熒光,而缺失RPE區域呈透見熒光。11C示OCT像,RPE層斷裂,其下脈絡膜呈弱反射。RPE:視網膜色素上皮;FFA:熒光素眼底血管造影;OCT:光相干斷層掃描像
5 MNV的AMD萎縮性病變
導致nAMD患者視力下降的主要原因有新生血管引起的滲漏、出血和纖維化;除此之外,對于已經接受治療的患者,萎縮也是一個重要原因[38]。這里的萎縮不是指地圖樣萎縮,而是能透見脈絡膜血管的圓形或橢圓形邊界清楚的脫色素區[39],其通常不會轉化為新生血管類病變。研究表明,40%的MNV患者在治療前就存在萎縮[40],說明萎縮性病變可以存在于nAMD的整個病程。
5.1 外層視網膜萎縮
外層視網膜萎縮是指OCT上顯示的外核層變薄,同時伴有外層視網膜尤其是橢圓體帶的反射減弱[41]。在較大的玻璃膜疣上方、玻璃膜疣樣沉積物消退后、新生血管區域、纖維化區域以及受視網膜下液影響的區域上方均可能觀察到外層視網膜萎縮。
5.2 RPE和外層視網膜萎縮
RPE和外層視網膜萎縮即地圖樣萎縮,分為不完全性、完全性萎縮兩種。完全性萎縮:OCT上表現為長度不少于250 μm的RPE缺失,同時合并下方脈絡膜穿透反射增強;不完全性萎縮:OCT上長度少于250 μm的RPE缺失,同時合并下方脈絡膜穿透反射增強(圖12)。對于合并滲出或正在接受治療的MNV患者,僅依靠OCT評估其RPE缺失范圍較為困難,而FAF檢查有助于判斷,當RPE上方不合并出血時,FAF熒光減弱或缺失意味著RPE細胞功能喪失。
圖12
伴有RPE和外層視網膜萎縮的1型MNV OCT像。可見1型MNV(白箭),外層視網膜變薄(銳角雙箭)和下方纖維血管性PED,橢圓體帶中斷(白箭頭),以及因RPE缺失而形成的脈絡膜強反射(水平雙向箭頭);MNV:黃斑新生血管;RPE:視網膜色素上皮;PED:RPE脫離;OCT:光相干斷層掃描
聲明 本文圖1~7、12影像資料引自“Richard FS, Glenn JJ, David S, et al. Consensus nomenclature for reporting neovascular age-related macular degeneration data[J]. Ophthalmology, 2020, 127(5): 616-636. https://pubmed.ncbi.nlm.nih.gov/31864668/. DOI: 10. 1016/j.ophtha.2019. 11.004”并獲得版權允許
老年性黃斑變性(AMD)是一種和年齡增長有關的多因素復合作用的眼底疾病,其臨床表現多樣。自1967年Gass[1]首先描述新生血管性AMD(nAMD)的病理和生理特征以來,隨后多年基于眼底彩色照相和熒光素眼底血管造影(FFA)影像特征的認識,陸續出現了“玻璃膜疣”、“地圖樣萎縮”等相關名詞術語[2-4]。近些年,眼底成像技術快速發展,在多模式影像新概念的基礎上建立nAMD新命名系統對于指導臨床工作具有重要意義。2020年,由視網膜專家、眼底讀片專家以及眼病理學家組成的nAMD研究組經過反復討論并達成共識,針對AMD定義、nAMD亞型建立了統一的命名系統[5]。現針對該共識中的數個亮點內容進行解讀,以供眼底病臨床醫師在臨床研究和實踐中參考。
1 AMD定義
AMD是黃斑區結構和功能發生衰老性改變的一種疾病,50歲以后伴有明顯的癥狀和體征,且其通常不繼發于病理性近視、中心性漿液性脈絡膜視網膜病變、單基因遺傳性視網膜疾病、脈絡膜視網膜葡萄膜綜合癥、感染或眼外傷等。AMD以黃斑區細胞外沉積物為典型特征,其分為基底層沉積物(basal laminar deposits )和基底線沉積物(basal linear deposits )兩種類型。前者指位于視網膜色素上皮(RPE)細胞漿膜及基底層[basal lamina,又稱致密層(lamina densa)]之間的沉積物;后者指RPE基底層外的沉積物。這兩種類型的沉積物均發生在Bruch膜里的內膠原層(圖1)。通常情況下,檢眼鏡下無法觀察到這些沉積物導致的Bruch膜彌漫性增厚,但“小土堆”樣的基底線沉積物在檢眼鏡下可表現為軟玻璃膜疣(soft drusen)[6]。而堆積在RPE上的視網膜下玻璃膜疣樣沉積物(subretinal drusenoid deposits),呈假性玻璃膜疣(pseudodrusen)表現。這些細胞外沉積物的形態學變化是組織學層面的改變,要進展到一定階段才能出現在臨床影像上。
圖1
RPE和Bruch膜的解剖模式圖。RPE:視網膜色素上皮
AMD早期,病變對視覺影響較小,主要表現為細胞外沉積物蓄積、色素移行進入視網膜、玻璃膜疣增大以及RPE發生色素減退和色素沉著;AMD晚期,其臨床表現以外層視網膜萎縮和變薄、RPE丟失以及黃斑新生血管(MNV)為主。新生血管性病變可以導致滲漏、出血和瘢痕。雙眼改變可以不對稱,如1只眼有玻璃膜疣,而對側眼無類似改變。對于這種情況,該共識認為不應按眼來診斷AMD,而應該按患者來診斷,同時給予患者補充維生素等措施來降低其發生AMD的風險。
2 新生血管亞型
與以往使用的術語“脈絡膜新生血管(CNV)”不同,該共識建議換用術語“MNV”。MNV是指血管及附加組織入侵式長入視網膜、視網膜下腔或RPE下腔,生長方式可以不同的組合。該共識基于光相干斷層掃描(OCT)確定的新生血管解剖位置及血管成分,將MNV分為1型、2型、3型共3個亞型。更改術語的原因是3型MNV并非從脈絡膜產生。
2.1 1型MNV
1型MNV是起源于脈絡膜毛細血管層向RPE下間隙生長的血管,既往命名為“隱匿性CNV”。隨著病灶的生長和擴大,脈絡膜和病灶內的滋養血管和引流血管發生重塑,逐漸增粗[7]。MNV病變在成纖維細胞、肌成纖維細胞和巨噬細胞等成分的參與下,導致纖維組織形成;而新生血管的滲漏、出血和纖維組織增生又可能導致纖維血管性RPE脫離(PED)。在FFA影像上,1型MNV表現為與RPE隆起區域相對應的邊界不清的斑點狀強熒光,晚期熒光融合成片。相比之下,吲哚青綠血管造影(ICGA)檢查可以更好地顯示這些異常的血管結構,但其有時也僅顯示為晚期的斑片狀熒光染色[8]。OCT血管成像(OCTA)檢查有助于識別這些病灶,可表現為新生血管形成的滲出、出血、或者纖維組織增生導致的纖維血管性PED擴大(圖2,3)。
圖2
1型MNV解剖結構示意圖。血管自脈絡膜生長,終于RPE以下。MNV:黃斑新生血管;RPE:視網膜色素上皮
圖3
78歲1型MNV患眼眼部檢查像。3A示彩色眼底像,可見黃斑鼻側出血。3B示FFA像,可見出血遮蔽熒光、輕微彌漫性滲漏(白箭)和點狀熒光素滲漏(白箭頭)。3C示OCT及En face OCTA像,上圖為OCT像,可見纖維血管性PED下呈不均勻強反射;下圖為OCTA B掃描像,可見隆起的RPE內有血流信號。3D示OCTA像,可見新生血管網(白箭)和黃斑中心凹(星號)。MNV:黃斑新生血管;FFA:熒光素眼底血管造影;OCT:光相干斷層掃描;OCTA:OCT血管成像;RPE:視網膜色素上皮;PED:RPE脫離
1973年Sarks[9]報道了一些1型MNV患眼的組織學改變,這些患者均沒有新生血管的臨床體征。1987年Gass[10]將這些臨床無癥狀但檢眼鏡或者血管造影下存在新生血管者稱為“隱匿型”。隨著ICGA的出現,有學者發現,無滲出的黃斑區斑片狀強熒光患眼,其對側眼有軟玻璃膜疣[11]。隨后又有學者發現,與無非滲出性斑狀物的患眼比較,有非滲出性新生血管斑狀物的患眼發展為滲出性改變的風險更高[12]。2012年Amissah-Arthur等[13]通過OCT發現,88%的患眼會發展為滲出性改變。而對于持續超過6個月無滲出改變的新生血管,Querques等[14]將其命名為“靜止型新生血管”,隨后基于OCTA又被命名為“非滲出性MNV”。但“靜止型”一詞沒有被國際命名共識納入。
2.2 息肉樣脈絡膜血管病變(PCV)
息肉樣脈絡膜血管病變(PCV)以脈絡膜異常分支血管網和分支血管網邊緣的結節樣血管團塊(息肉)為特征性改變,是一種非常重要的1型MNV亞類[15]。PCV在亞洲MNV患者中更常見,約占50%[16-17],男性居多[18]。在PCV中,分支血管網的血管可以異常粗大,甚至在檢眼鏡下可直接觀察到,息肉具有搏動性,并容易出血。其OCT特征與1型MNV相似,在此基礎上部分患者的病變邊緣可見擴張的血管成分,隆起的RPE提示息肉樣結節。PCV在ICGA和OCTA檢查中更具有特征性:ICGA早期可見分支血管網充盈,隨之病灶外緣上數量不等的息肉樣顯影,晚期循環內的染料清空,在息肉周圍形成晚期染色[19];OCTA檢查中,雖然息肉可能不顯影,但是分支血管網是可以清楚顯現的(圖4)。PCV病灶在RPE下間隙緩慢生長,往往在導致患者視力損害之前就已經發展到相當大的程度。
圖4
PCV患眼眼部檢查像。4A示彩色眼底像,可見視網膜前膜,視盤下方大量的視網膜下脂質。4B示FFA像,可見新生血管性強熒光,PED內可見熒光素積存。4C示ICGA像,可見膨大的血管呈強熒光,其通過分支血管網絡相互連接。4D示OCT像,強反射滲出物質下可見結節樣血管結構(白箭),鄰近PED。4E示OCTA En face像,動脈瘤樣結構聚集導致的RPE隆起(白箭)。4F示OCTA像,隆起的RPE內有血流信號,提示有動脈瘤樣擴張的血管,也可能是緊密纏繞的血管團。PCV:息肉樣脈絡膜血管病變;RPE:視網膜色素上皮;PED:RPE脫離;FFA:熒光素眼底血管造影;ICGA:吲哚青綠血管造影;OCT:光相干斷層掃描;OCTA:OCT血管成像;En face:橫斷面
實際上,“息肉樣脈絡膜血管病變”一詞是不正確的,從名字上解讀,應該是異常擴張的脈絡膜血管,末梢膨大呈息肉樣,但是病理顯示病灶位于Bruch膜之上,由緊鄰于RPE外的“海綿”樣薄壁血管組成[20-22];而“polyp”一詞指的是一種水生無脊椎動物或是從粘膜表面生長的贅生物,而不是血管異常。目前有一個推薦術語“血管囊樣1型新生血管”,因為對息肉的內部結構到底是單純的血管瘤還是更為復雜的血管結構尚存在爭議,但命名委員會尚未達成共識[23]。
2.3 2型 MNV
2型MNV舊稱為“典型性CNV”,特指起源于脈絡膜的新生血管增生時穿過RPE后進入視網膜下間隙,盡管新生血管穿過RPE下,但主要部分位于視網膜下。這型病變合并的出血和滲出直接進入視網膜下腔。2型MNV可以是整體病灶的一部分,與其他類型MNV同時存在。除AMD外,還可繼發于血管樣條紋、漆裂紋、脈絡膜視網膜炎等累及RPE的疾病。該型病變在FFA早期即可顯示典型的邊界清楚的強熒光,晚期熒光素滲漏(圖5,6)。OCTA顯示新生血管網位于RPE上方。
圖5
2型MNV解剖結構示意圖。血管從脈絡膜發出,穿過RPE,在視網膜下間隙增生。MNV:黃斑新生血管;RPE:視網膜色素上皮
圖6
74歲2型MNV患眼眼部檢查像。6A示彩色眼底像,可見中心凹環形色素沉著(白箭)。6B、6C分別示FFA早期、晚期像,早期可見邊界清楚的新生血管病變,晚期熒光素滲漏增加,新生血管病變邊界模糊。6D示OCT像,可見外層視網膜病變和中心凹下視網膜下液,新生血管穿過RPE(白箭)。MNV:黃斑新生血管;FFA:熒光素眼底血管造影;OCT:光相干斷層掃描;RPE:視網膜色素上皮
2.4 3型 MNV
3型MNV并非起源自脈絡膜,而是從視網膜循環向下生長至外層視網膜的血管復合體,“CNV”的稱謂在此顯然不正確。
3型MNV中心凹無血管區外的散在斑片狀視網膜內出血和囊樣間隙出現于新生血管形成之前,新生血管出現潛在的滲漏和出血。FFA檢查可見黃斑囊樣水腫形成,表現為視網膜內熒光素滲漏;ICGA檢查可見強熒光灶,這很可能是軸性向下生長的血管;OCT檢查可見視網膜內水腫,不同于其他新生血管,其水腫范圍更廣;OCTA檢查可見血管增生進入視網膜深層(圖7,8)。據此該共識推測,這些血管起源于視網膜深層毛細血管叢,蔓延到外層視網膜,但卻伴有增強的血管增生、血流和新生血管滋養引流的重塑。已獲得組織學結果的證實,3型MNV患眼可以表現為視網膜下液和滲出、視網膜退化、PED。
圖7
3型MNV及其新生血管向下生長形成的血管瘤樣病灶解剖結構示意圖。7A示3型MNV,當局部的促血管生成-抗血管生成平衡向有利于新生血管生成的方向傾斜時,新生血管從深層毛細血管叢發出,沿著VEGF濃度梯度方向增生。7B示新生血管向下生長形成血管瘤樣病灶,此處的滋養和引流血管經重塑進一步增大增粗,視網膜內的水腫和出血一方面來自于新生血管的滲漏,另一方面由VEGF上調引起。MNV:黃斑新生血管;RPE:視網膜色素上皮;VEGF:血管內皮生長因子
圖8
3型MNV患眼眼部檢查像。8A示彩色眼底像,可見黃斑旁色素紊亂。8B示FFA像,左圖為早期,右圖為晚期。早期新生血管呈強熒光(白箭),晚期熒光素滲漏。8C示ICGA像,左圖為早期,右圖為晚期。早期新生血管呈強熒光(白箭),晚期滲漏不明顯。8D示OCT像,左圖為掃描方向和部位,右圖為檢查結果。可見新生血管合并纖維血管性PED,周圍有視網膜下液。8E示OCTA像,左圖為掃描方向和部位,右圖為檢查結果。可以清晰看到新生血管成分來自深層視網膜毛細血管網,而非脈絡膜。MNV:黃斑新生血管;FFA:熒光素眼底血管造影;ICGA:吲哚青綠血管造影;OCT:光相干斷層掃描;OCTA:OCT血管成像;PED:視網膜色素上皮脫離
增生進一步向著RPE,最終導致RPE破裂,RPE下新生血管形成,并與深層血管吻合。盡管2型、3型中的新生血管都可進入視網膜下,但是3型新生血管起源于視網膜微循環,而1型、2型是從脈絡膜發生。早期曾使用術語“視網膜異常血管群”[24]、“視網膜血管瘤樣增生”[25]和“隱匿型視網膜脈絡膜吻合”[26]。
2.5 視網膜-脈絡膜吻合
吻合血管指血管管道之間的交通連接。這些管道能讓血管內血液的流動方向從視網膜到脈絡膜,或者從脈絡膜到視網膜,這取決于壓力差。該共識將此類病灶命名為“視網膜-脈絡膜吻合”,是為了與視網膜到脈絡膜的分級命名原則保持一致,而并非代表血流的方向。盡管OCT和OCTA檢查也可以檢出此類病變,但其診斷還是更多地依賴于血管造影檢查。
3 新生血管病變術語
基于以上定義與分型,該共識對于新生血管病變術語的使用建議為:1型MNV指起源于脈絡膜并位于RPE下的新生血管;2型MNV指新生血管起源于脈絡膜,突破RPE進入視網膜下間隙;3型MNV指起源于視網膜的血管復合體。如果主要的新生血管同時位于視網膜下和RPE下,就稱為1/2型混合MNV(圖9),其治療后2型病變退化明顯[27]。有的患眼同時存在3型MNV和與之不相連的其他類型新生血管,可以用“/”表示,如同時存在1型MNV,則稱為“3/1型MNV”,“/”意味“和”。
圖9
1/2型混合MNV患眼眼部檢查像。9A示彩色眼底像,黃色滲出(白箭)、玻璃膜疣(黃箭)和假性玻璃膜疣(白箭頭)。9B、9C分別示FFA早期、晚期像,早期可見邊界清楚的新生血管(9B,白箭),晚期可見新生血管滲漏明顯(9C,白箭),周圍可見點狀強熒光(9C,白箭頭)。9D示OCTA En face像,可見RPE上方的2型MNV(上圖,白箭),形態與FFA像一致;掃描層面下移后,可見RPE下方的1型新生血管(下圖,白箭)。MNV:黃斑新生血管;FFA:熒光素眼底血管造影;OCTA:光相干斷層掃描血管成像;En face:橫斷面
滲出是新生血管的常見特征,MNV的滲出可表現為滲漏、視網膜下液、脂質(硬性滲出)和視網膜下強反射物質(SHRM)。
3.1 滲漏
滲漏是血眼屏障破壞后釋放出過多液體和血清成分的結果。在FFA上表現為血管外的強熒光灶,隨造影時間延長而逐漸擴大。當熒光素儲留在組織中時,稱為“染色”;進入富含液體的間隙時,則稱為“蓄積”。需要注意的是,強熒光表現并不一定代表有水腫存在,也有可能是滲漏較為局限而組織功能存在所致。
當血管滲漏超出了局部組織排出液體的能力時,就會出現視網膜內液或視網膜下液。視網膜內液可以源于視網膜血管或視網膜內新生血管的滲漏,或由于外界膜和相關結構異常導致的從外層視網膜擴散而來的滲出;視網膜下液體的蓄積依賴于排除率,例如打破RPE泵的功能可導致視網膜下液體蓄積。
3.2 脂質
脂質也稱為硬性滲出,是血管慢性滲漏產生的脂蛋白沉淀。滲漏的液體成分可以吸收,但并未直接移除脂蛋白分子,如脂蛋白分子濃度可能超出其可溶性,將出現組織沉淀物。小的病灶在視網膜上不顯示,大的病灶則表現為位于視網膜內或視網膜下的黃白色球形物質,OCT上表現為視網膜內強反射點。
3.3 SHRM
SHRM在OCT時代才被觀察到。它是指除了紅細胞之外的物質滲出到視網膜內或視網膜下,OCT表現為一些區域無特征性的蓄積物合并相對一致的增強反射(圖10)。這些物質多由血清、纖維蛋白和炎性細胞組成。不同于卵黃樣物質,SHRM在眼底自身熒光(FAF)檢查上并不顯示為強熒光。SHRM可以吸收,但纖維化常常出現[28-29]。當出現SHRM時,患者視力預后往往較差[27]。2型MNV的滲出會直接進入視網膜下腔,其存在SHRM的線索包括FFA的經典表現、外界膜破壞和視網膜內液體。SHRM的再出現是新生血管復發的標志[30]。
圖10
視網膜下液、SHRM及PED患眼OCT像。左圖為掃描方向和部位,右圖為檢查結果。視網膜下液(藍箭)、視網膜下反射均勻增強(白箭)及RPE隆起(綠箭)。SHRM:視網膜下強反射物質;RPE:視網膜色素上皮;PED:RPE隆起;OCT:光相干斷層掃描
4 MNV相關病變
4.1 PED
PED是指因RPE下玻璃膜疣樣物質、積液、出血和纖維血管組織等導致RPE層和其下方的基底膜與Bruch膜內膠原層的分離。漿液性PED可以發生在非nAMD過程中[31]。但ICGA檢查證實PED主要還是來自于AMD的新生血管。RPE因新生血管釋放的液體而升高,可發生在新生血管不對稱的組織,呈“凹槽”狀PED,新生血管位于“凹槽”內,常常與RPE底部和其基底膜粘連。纖維血管性PED的結構主要是血管和纖維組織的復雜排列,其也可以存在漿液性液體。OCT和OCTA檢查可以探測到PED內部的解剖結構,特別是當PED較淺時,OCTA清晰可見其血管網。“玻璃膜疣樣PED”是一類特殊的PED,其表現為直徑大于350 μm的玻璃膜疣物質[32]。1型、3型MNV均可出現PED。1型MNV出現PED的原因可能是RPE下新生血管的滲漏,在有些早期的1型MNV中PED相對平坦。3型MNV發生PED的原因不明。但類似的PED不會出現于2型MNV,其原因尚不清楚。
4.2 出血
新生血管引起的出血可以出現在RPE下、視網膜下、視網膜內,甚至偶有發生在視網膜前區域。新鮮出血在FAF上呈強熒光;而陳舊性出血在FFA中不染色,FAF上也表現為強熒光。
4.3 纖維化
纖維化是指在眼底照相和FFA檢查中可以觀察到的白色或黃白色物質,可以出現在視網膜任何一層、視網膜下、RPE層或RPE下,多見于視網膜下或RPE下腔,推測其來自膠原組成的沉積物。FFA具有特征性熒光,而FAF無強熒光特征。有關纖維化在彩色眼底像和FFA上呈現的特征與OCT影像特征有無關聯尚不確切[33]。組織病理學檢查發現,纖維組織含有4種膠原沉淀物,包括成纖維細胞、肌成纖維細胞、潛在分化的 RPE 細胞以及可能與新生血管組織混合的其他成分。纖維化是傷口愈合反應的一部分[34],是轉化生長因子β1、色素上皮生長因子、結締組織生長因子等多種細胞因子共同作用的結果[35]。纖維組織常合并病灶收縮,推測血管內皮生長因子(VEGF)和這些細胞因子之間有平衡制約的關系,較高水平VEGF可以促進血管生長,而較低水平VEGF又可導致纖維瘢痕組織的增加和組織收縮。
4.4 RPE撕裂
RPE撕裂由RPE層的牽引性開裂引起,牽引力來自于RPE下的纖維血管組織,當牽引力大于RPE單層結構的力度時便導致RPE撕裂[36-37]。撕裂后的RPE邊緣回縮,導致游離端的RPE形成不同程度的堆積,此區域在FFA上呈遮蔽熒光,缺失RPE區域在FFA上呈透見熒光;OCT中顯示為脈絡膜的強穿透性(圖11)。由于RPE缺失或脈絡膜毛細血管萎縮, OCTA可以觀察到來自深層脈絡膜血管的血流信號。
圖11
RPE撕裂患眼眼部檢查像。11A示彩色眼底像,視網膜下病變區色素紊亂。11B示FFA像,撕裂端RPE的堆積呈遮蔽熒光,而缺失RPE區域呈透見熒光。11C示OCT像,RPE層斷裂,其下脈絡膜呈弱反射。RPE:視網膜色素上皮;FFA:熒光素眼底血管造影;OCT:光相干斷層掃描像
5 MNV的AMD萎縮性病變
導致nAMD患者視力下降的主要原因有新生血管引起的滲漏、出血和纖維化;除此之外,對于已經接受治療的患者,萎縮也是一個重要原因[38]。這里的萎縮不是指地圖樣萎縮,而是能透見脈絡膜血管的圓形或橢圓形邊界清楚的脫色素區[39],其通常不會轉化為新生血管類病變。研究表明,40%的MNV患者在治療前就存在萎縮[40],說明萎縮性病變可以存在于nAMD的整個病程。
5.1 外層視網膜萎縮
外層視網膜萎縮是指OCT上顯示的外核層變薄,同時伴有外層視網膜尤其是橢圓體帶的反射減弱[41]。在較大的玻璃膜疣上方、玻璃膜疣樣沉積物消退后、新生血管區域、纖維化區域以及受視網膜下液影響的區域上方均可能觀察到外層視網膜萎縮。
5.2 RPE和外層視網膜萎縮
RPE和外層視網膜萎縮即地圖樣萎縮,分為不完全性、完全性萎縮兩種。完全性萎縮:OCT上表現為長度不少于250 μm的RPE缺失,同時合并下方脈絡膜穿透反射增強;不完全性萎縮:OCT上長度少于250 μm的RPE缺失,同時合并下方脈絡膜穿透反射增強(圖12)。對于合并滲出或正在接受治療的MNV患者,僅依靠OCT評估其RPE缺失范圍較為困難,而FAF檢查有助于判斷,當RPE上方不合并出血時,FAF熒光減弱或缺失意味著RPE細胞功能喪失。
圖12
伴有RPE和外層視網膜萎縮的1型MNV OCT像。可見1型MNV(白箭),外層視網膜變薄(銳角雙箭)和下方纖維血管性PED,橢圓體帶中斷(白箭頭),以及因RPE缺失而形成的脈絡膜強反射(水平雙向箭頭);MNV:黃斑新生血管;RPE:視網膜色素上皮;PED:RPE脫離;OCT:光相干斷層掃描
聲明 本文圖1~7、12影像資料引自“Richard FS, Glenn JJ, David S, et al. Consensus nomenclature for reporting neovascular age-related macular degeneration data[J]. Ophthalmology, 2020, 127(5): 616-636. https://pubmed.ncbi.nlm.nih.gov/31864668/. DOI: 10. 1016/j.ophtha.2019. 11.004”并獲得版權允許

